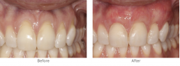
Grafting can improve the appearance of teeth, and also help to prevent further recession.
Soft tissue grafting is an everyday procedure for periodontists. The most common way to perform soft tissue grafting is to take a small piece of gums from elsewhere in the mouth to use as a graft in the desired location. The original site will have a protective covering (like a band aid) placed over it to aid the healing. The recovery time can vary depending on the type of grafting and the number of teeth involved.

